RONJA a její příběh
Narodila se Ronja. Narodila se předčasně před 12 lety a svojí neskutečnou vitalitou překonala hodně těžké chvíle. Ronja žije sice s velmi těžkým kombinovaným postižením, ale i přes všechno, čím si prochází je veselá, malá slečna. Má svůj smysl pro humor, miluje lidi a společnost, miluje nade vše svoji sestru Báru a malou neteř a synovce, kterým je nyní 5 a 8 let. Statečně snáší všechny nástrahy postižení a je milovanou dcerou svých starostlivých rodičů.
K životu potřebuje jiné věci, než zdravé děti. Nemůže jezdit do školy tramvají, ale potřebuje auto, nehraje basket v Sokolu, ale cvičí Vojtovku, a má neurorehabilitace, k její výbavě nepatří lyže nebo brusle, ale invalidní vozík a terénní kočárek, nemůže chodit do kroužků, ale potřebuje svoje rodiče, rodinu, pár asistentů a školu pro děti s těžkým hendikepem.
Aby se mohla hýbat a přesouvat v denním životě, potřebuje bezbariérový prostor, svoje rodiče a asistenty.
V každém případě musí hodně cvičit a jako správná loupežnice také co nejvíc pobývat v lese.
V této chvíli však potřebuje vaši laskavou pomoc s věcmi, se kterými si už rodina neumí poradit.

VÍCE O RONJI HENDIKEPECH
Ronja je 12 letá slečna s těžkým kombinovaným postižením. Dětská mozková obrna u Ronji vznikla následkem předčasného porodu a krvácení do mozku a způsobila, že Ronja samostatně nechodí, nesedí a kvůli těžké skolióze se sama nepostaví.
Dětská mozková obrna
Ronja má souhrnou diagnózu DMO následkem předčasného narození a komplikacemi s ním spojených.
Díky dlouhodobé neurorehabilitaci umí Ronja s dopomocí ťapat pár metrů a ve stoje jí mohou pomoci speciální ortézy. Poloha ve stoje a chůze totiž pomáhá člověku rozložit jednostranné zatížení těla i vnitřních orgánů, pomáhá proti bolestem a pomáhá dokonce s kvalitním trávením. Pomáhá správně dýchat a v neposlední řadě pomáhá i psychicky.
Tyto ortézy se ale vyrábí pouze v Německu a žádný podobný výrobce v Česku tyto kompenzační pomůcky vyrobit neumí a zdravotní pojišťovna je nehradí. Dětem však pomáhají dostat se ze zakletí svých pohybových omezení.
S DMO souvisí také hypotonie a spasticita. Jediná dostupná terapie je každodenní cvičení a pravidelné neurorehabilitace.
Těžká skolióza
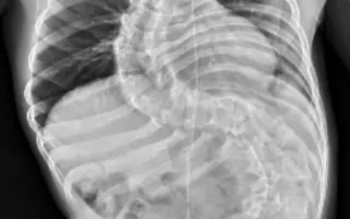
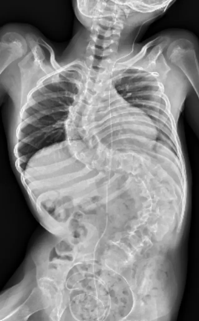
Velký zdravotní problém, který s DMO souvisí, je těžká a život ohrožující skolióza. Ronji křivka je 115 stupňů, což znamená, že je úplně zlomená v pase a utlačuje plíce a vnitřní orgány. Operace je natolik náročná a v jejím případě také tolik riskantní, že se k ní lékaři neodvážili a nebo ji vůbec nedoporučují. Od 5. měsíce cvičila Ronja Vojtovu metodu, podstoupila několikrát lázeňskou léčbu a řadu neurorehabilitací. Nyní prochází růstovým spurtem a její pohyb potřebuje výraznou podporu.
Broncholulmonální dysplázie a spánková apnoe
Ronja má také obří problémy s dýcháním, trpí spánkovou apnoe a sníženou imunitou. V nemocnici strávila celkově zhruba dva roky života. Dýchání u ní zahrnuje denní i noční péči s podporou kyslíku, kašlacího asistenta, oxymetru a inhalací. Ronja musí být během nocí často polohovaná, během viróz nemůže spát na zádech, aby se nedusila hleny, v domácnosti se kvůli dýchání nachází prakticky malá JIPka a o Ronju ve dne i v noci pečují oba rodiče.
Letošní rok byl náročný. Foto je z hospitalizace v VFN.
Na snímku je záznam z jedné noci na oxymetru, vše, co je pod červenou čárou jsou stavy, kdy je potřeba Ronje s dýcháním pomoci. Buď nastavením kyslíku, pobídnutím k dýchání pomocí akupresurních bodů, přepolohováním nebo přemístěním čidla na jiné místo, zkontrolováním průtoku kyslíku, přístroje a podobně. V každém případě si asi nikdo neumí úplně představit, že při každém snížení saturace pod 93% je potřeba „něco“. Někdy i 50 x za noc, 4 tisíce nocí za sebou.
Imunita
Kvůli snížené imunitě a častým pobytům v nemocnici si Ronja prošla velkou řadou virových i bakteriálních onemocnění a ty zase dokola prohlubují těžké stavy spojené s dýcháním a pohybem. Měla by co nejčastěji pobývat na čerstvém vzduchu a v zimě se celá rodina nachází ve velké izolaci tak, jak to mnoho lidí zažilo během covidu.
Je toho víc
Se všemi těmito diagnózami souvisí řada dalších problémů. Že má Ronja 4,5 dioptrie, atopický ekzém, epilepsii a nedoslýchá, to jsou už jen menší potíže, řešitelné medikací a podobně.
S čím potřebuje Ronja pomoci?
Ronja najednou vyrostla a z dítěte je velká slečna a celkově je mnohem náročnější úplně všechno – přenášení a přemisťování do vozíku a kočárku, do auta nebo do sprchového koutu. Také je náročné polohování a hlídání v noci.
K péči tedy nyní potřebuje Ronja naráz několik věcí, která obrovsky přesahují možnosti rodiny:
ORTOPEDICKÉ ORTÉZY A NEUROREHABILITACE
Ronje mohou s pohybem a vážnou skoliózou pomoci ortopedické ortézy, které umí vyrobit jen v Německém Traunsteinu. Tady už Ronja podstoupila vyšetření a návrhy na postup a následně rodiče konzultovali s lékaři u nás. Ortézy by Ronje výrazně pomohly s pohybem, aby stále jenom neseděla, protože je schopná s dopomocí ťapat. Ale bez ortéz se jí hroutí tělo pod náporem tíhy, a obrny.
Ortézy mají písty, které s touto tíhou umí dítěti pomoci.
Dětská mozková obrna má tendenci zhoršovat své projevy, jakmile Ronja správně a pravidelně necvičí. Neurorehabilitace u Ronji zahrnuje kombinaci cvičení v pražské Saremě, cvičení Vojtovky,
neurorehabilitační pobyty 2 – 4 týdny, pokud to jde (bohužel to nevyjde každý rok). Nechceme zacházet do úplných podrobností, protože je to bolestivé čtení. Ronja jednoduše potřebuje
pravidelnou péči o pohyb.
Nepostradatelné a nejdražší je AUTO
Auto je Ronji oficiální zdravotní pomůckou a bez něj se neobejde. Do auta je potřeba mimo Ronji naložit hodně věcí – především speciální kočárek, který se vejde jen do dodávky.
Ronja se do auta dostává přes otočnou a posuvnou sedačku tzv. D TRAIN, tuto část žádá rodina z příspěvku na pomůcky od úřadu práce.
Stařičký VW Transportér už nelze dál opravovat, finančně je to nezvladatelné.
Bohužel v něm Ronji záda trpí také nadměrnými otřesy. A to nejhorší je nepřijatelný kouř, kterého se ani přes všechny opravy nebylo možné zbavit. Je to prostě děděček, jízda v něm už je ale pro Ronju nepřijatelná.
Kromě kočárku se v autě často převáží také:
• invalidní vozík (10 kg)
• ortopedická židle (40 kg)
• generátor kyslíku (11 kg)
• mobilní kyslíkový přístroj (7 kg)
• čistička vzduchu (15 kg)
• inhalátor, kašlací asistent, oxymetr
• hadice, masky, filtry, dezinfekce a léky
• a samozřejmě také osobní věci Ronji a rodičů
Na pozadí Ronji jen kočárek, který zabírá celé auto a ještě musí být na štorc.
Odcházející stařeček, který Ronje na dýchání nedělá vůbec dobře.
BEZBARIÉROVÉ ÚPRAVY
Péče o Ronjičku zahrnuje každý den spoustu úkolů, ať je to oblékání, péče o celkovou hygienu, péče o dýchání, vypravování ven, do školy k lékařům a na cvičení. Péče o dech, o pohyb a samozřejmě i klasická péče jako o dítě. Ronja má hypotonii a 30 kilo váhy a znamená to opravdu hodně každodenního přenášení.
I pohyb s kočárkem nebo vozíkem venku a přenášení velkého množství různých těžkých kompenzačních pomůcek při jakékoli cestě je fyzicky extrémně namáhavé. Pro rodiče a stejně tak pro Ronju, protože její tělo potřebuje žít v co nejlepších polohách, bez nevhodných a bolestivých pohybů. Není nikdo jiný, kdo může tyhle přesuny dělat kromě rodičů, asistenti mají přesuny nad 20 kg zakázané.
S Ronji starší sestrou, která by péči převzala v případě, že by nemohli pečovat Ronji rodiče, tedy začali budovat malou bezbariérovou garsonku a z plesnivého chlíva udělali maximum pro přípravu bezbariérové místnosti s WC a koupelnou, kterou by také dále půjčovali rodinám s podobně postiženými dětmi. Za 12 let však rychle dochází energie a hlavně finance a bez profesionálů a pomoci veřejnosti se teď doslova nehnou z místa.
Bezbariérové sociální zařízení
Vzhledem k omezenému a specifickému prostoru a specifikům Ronji postižení potřebuje rodina konzultace a realizaci bezbariérové koupelny, WC a další stavební úpravy s pomocí profesionální firmy.
Stropní zvedací systém
Každý, kdo má postižení jako Ronja, se těžko obejde bez stropního systému pro přesouvání v rámci prostoru. Ronja a její rodiče by s ním měli možnost pohybovat se mezi koupelnou, WC, postelí, kuchyňským koutem a malou venkovní terasou.
ASISTENČNÍ A ODLEHČOVACÍ SLUŽBY
Péče o Ronju je prakticky bez jakékoli úlevy během dne, noci, každý den, celý rok, 12 let. Ronja má zatím omezené asistenční služby, které si rodina navíc musí sama hradit. Pokud je Ronja nemocná, odpadají asistence úplně a rodina se nemá na koho obrátit. Do školy Ronja chodí až od letošního roku zatím to vychází na několik hodin měsíčně. A na rozdíl od zdravých dětí si pobyt ve škole také platí.
Jelikož má Ronja tolik specifických problémů, musí být u asistence přítomný vždy jeden z rodičů. O Ronju od narození pečují oba rodiče, svých zaměstnání se museli postupně vzdát, aby se všechno dalo vůbec nějak zvládnout.
Žel specifickým problémům s dýcháním není ani možné si od péče ulevit v noci, asistence noční služby ani péči o dýchání nepokrývá. Tedy po dobu 12ti let je to převážně máma, kdo v noci k Ronje vstává. Platit takovou službu přes noc je zcela mimo finanční možnosti. Neexistuje prakticky situace, kdy by s Ronjou nebyl alespoň jeden z rodičů.
Ronja by měla díky sbírce možnost i nadále jezdit autem všude, kam potřebuje i se svým vybavením a chodit do školy a mít i nadále své milé asistentky. Rodiče by po 12ti letech mohli díky sbírce využít alespoň na pár dní v roce odlehčovací služby se zdravotní péči jako je Dům Julie.
Co bychom rádi díky sbírce uhradili a jaké náklady jsou v ní zahrnuté?
NEUROREHABILITACE A ORTÉZY
Ortopedické ortézy / Pohlig Traunstein
Neurorehabilitace ambulantní a pobytové
celkem 1 288 000 Kč
AUTOMOBIL OSOBNÍ DODÁVKA
cena auta bez slevy
D/TRAN instalace otočné sedačky pro nakládání Ronji
celkem 1 490 000 Kč
BEZBARIÉROVÉ ÚPRAVY
Bezbariérová koupelna a WC
Stropní zvedací systém
Stavební bezbariérové úpravy
celkem 630 000 Kč
ASISTENCE A ODLEHČOVACÍ SLUŽBY
celkem 122 800 Kč
Další detaily ke sbírce
Všechny podklady pro sbírku tedy lékařské zprávy, rozpočty a ceníky jsou zde na Doniu pro účely sbírky detailně doložené.
Pokud by stal zázrak a ve sbírce se nastřádalo více peněz, budou peníze věnovány na dostavbu malého komunitního Odlehčovacího centra pro rodiny a děti s podobnými potřebami, jako má Ronja.
Kdo pořádá sbírku
Jsme přátelé a podporovatelé Ronjičky a jejích rodičů. Ronju známe od narození a víme, čím vším si všichni procházejí a co všechno je ještě čeká. Chceme pomoci s tím, co Ronja opravdu nutně potřebuje a na co se finance hledají opravdu těžce a na úkor Ronji.
Jsme také nadšení z toho, že rodina má vizi v dalším roce vybudovat Odlehčovací centrum pro rodiny v podobné situaci a hledá všechny možnosti, jak ho co nejdříve uvést do provozu.
Fotogalerie



Pomozte Ronje a její rodině změnit tento příběh


Předáme 100 % částky
I ten nejmenší dar dá velkou naději

Snadná, rychlá a důvěryhodná pomoc
Tato Dobročinná sbírka je spravována Nadačním fondem Donio



































