Zakladatel
Ladislav Martínek
do ukončení
39 dnů
Datum přidání
21. 10. 2025
Představení sbírky
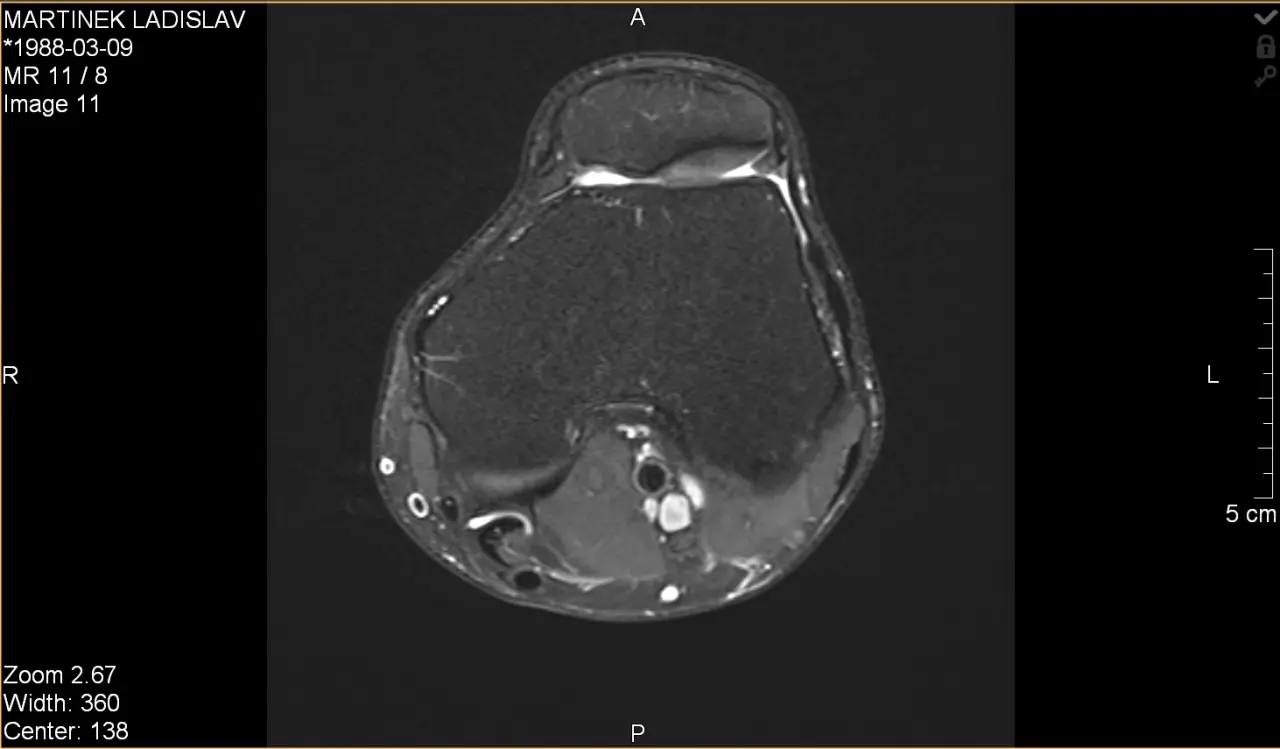
Cesta bolesti a hledání pomoci
Na co konkrétně budou peníze z této sbírky použity?
Pomozte Láďovi změnit tento příběh


Předáme 100 % částky
I ten nejmenší dar dá velkou naději

Snadná, rychlá a důvěryhodná pomoc
Všechny sbírky ověřujeme. Kontrolujeme lékařské zprávy i další doklady.
Předáváme 100 % vybrané částky. Nebereme si žádné provize ani poplatky.
Po skončení sbírky ověřujeme, že pomoc opravdu dorazila - kontrolujeme i účtenky a faktury.
Vzkazy
L
Lída
1 000 Kč•
Držím palce, ať Vám operace pomůže, přeji hodně štěstí
S
Stanislav .
2 000 Kč•
Držím palce kamaráde🙂
M
Mistr Y.
600 Kč•
Ať vše dobře dopadne
L
Lucia M.
300 Kč•
Drzim palce :)
R
Renata N.
2 000 Kč•
držím palce, ze ❤️
J
Jiří .
1 000 Kč•
Na raketu Dana I. se potřebná částka vybrala během jednoho dne. Snad se lidé probudí a nebudou zlo oplácet zlem a nebudou podporovat zbrojení. Ať Vám vše dobře dopadne.
O
Olga N.
2 000 Kč•
Hodně štěstí a držím palce, Láďo🍀🫶!
M
Michal E.
600 Kč•
Good luck 💪
M
Martina K.
2 000 Kč•
Na nový kopýtko 🦙🤍
K
Kamila M.
300 Kč•
Láďo, držím palce 🤞
Tato Dobročinná sbírka je spravována Nadačním fondem Donio
Další příběhy
Dvacetiletá Lucka s nádorem mozku chce dál žít a smát se
Vybráno 2 868 228 Kčz 11 160 000 Kč
25 %Poslední šance Dášenky vidět vyrůstat své děti i vnoučata
Vybráno 1 280 311 Kčz 3 000 000 Kč
42 %Beatce nezbývá moc času. Chce poznat malou sestřičku a potřebuje naši podporu.
Vybráno 3 276 092 Kčod 6862 dárců
Z lůžka vidí jen strop – vraťme mámě nebe a slunce
Vybráno 1 000 932 Kčz 650 000 Kč
153 %Táta na vozíku potřebuje motor
Vybráno 170 150 Kčz 180 000 Kč
94 %Pomozte Emičce v boji s akutní lymfoblastickou leukémií, aby se mohla zase smát
Vybráno 416 871 Kčod 407 dárců
Šest dětí, boj s rakovinou a dvojčátka v náručí. Pomozme Markétě.
Vybráno 839 319 Kčod 1225 dárců
Pomozme Beátce a jejímu tatínkovi po ztrátě milované maminky a manželky ❤️
Vybráno 316 772 Kčod 352 dárců



